Crown Bridge Treatment
- Home
- Crown Bridge Treatment
“Restore your smile’s strength and
shine with crowns & bridges.”
shine with crowns & bridges.”
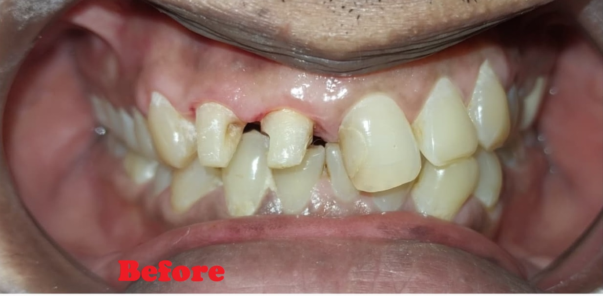
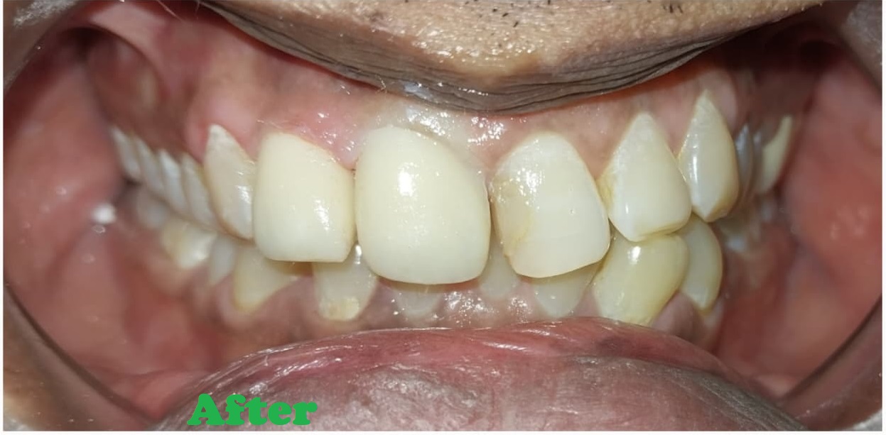
Crown Bridge Treatment
Enhancing Your Smile with Art and Precision
- Crowns protect and strengthen weak, fractured, or root canal–treated teeth.
- Bridges replace one or more missing teeth, restoring chewing and speech.
- Both provide durable, natural-looking solutions for a confident smile.

